VistaScan VistaScan
El lector de placa con pantalla táctil para formatos intraorales
El nuevo lector de placa VistaScan Mini View asegura al usuario una digitalización de las placas radiográficas sumamente intuitiva, efectiva y rápida. A ello contribuye, entre otras cosas, su gran pantalla táctil con su cómoda superficie externa para el usuario. Su compacidad y la función WLAN integrada hacen que el aparato sea único y muy flexible.
Esto es lo esencial:
- Muy alta calidad de las imágenes
- Pantalla táctil de gran resolución
- ScanManager para un flujo de trabajo en la consulta óptimo
- Para todos los formatos intraorales
- Seguridad gracias a una memoria interna
- Conexión con PC a través de WLAN/LAN
- Funcionamiento stand-alone posible
Forma compacta, calidad de imagen sin concesiones
Fiabilidad y eficiencia
Todos los formatos intraorales
Con el VistaScan Mini View se pueden usar todos los formatos de placas radiográficas – de tamaño de 0 a 4. El manejo es tan sencillo como con las películas analógicas.
Funcionamiento Stand-alone
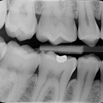
Excepcional calidad de imagen
La tecnología PCS del VistaScan Mini reproduce lesiones de caries D1 e instrumentos de endodoncia hasta ISO 06 de forma fiable.
Pantalla táctil confortable
La pantalla táctil ofrece una resolución de 800 x 480 pixel con 16,7 millones de colores y tiene una extraordinaria calidad de imagen. Con la vista previa de la imagen escaneada, se puede controlar rápidamente el resultado radiográfico.
ScanManager – para un trabajo aun más eficiente
Desde cualquier estación de trabajo y en cualquier momento se pueden enviar al escáner trabajos de escaneado. Seleccionar la tarea, escanear, listo. Las imágenes se transmiten a continuación de manera automática al ordenador correspondiente. Se suprime el tiempo de espera ante el aparato
Compacto y flexible
Gracias a su reducida superficie de emplazamiento, el VistaScan Mini View puede colocarse de manera óptima en un lateral del sillón: ideal para radiografiar y escanear directamente en el puesto de tratamiento
Uso intuitivo – óptimo flujo de trabajo
La cómoda superficie externa para el usuario permite un uso sencillo del VistaScan Mini View – con la mano o con el estilete suministrado. Funciones contiguas proporcionan innumerables informaciones que favorecen el flujo de trabajo.
Función WLAN
La función integrada WLAN permite integrar fácilmente el VistaScan Mini View en una red preexistente y colocarlo casi en cualquier lugar – por ej. en lateral del sillón de tratamiento. Por supuesto, también está disponible una interfaz LAN
| Datos técnicos | VistaScan Mini View |
|---|---|
| Pantalla táctil | 4,3″, 800 x 480 Pixel, 16,7 millones de colores |
| Tamaño de las placas | 0 hasta 4 |
| Resolución efectiva (LP/mm, dpi) | 22, 1100 |
| Resolución teórica (LP/mm, dpi) | 40, 2000 |
| Peso (kg) | aprox. 7 |
| Medidas (Al x An x Pr mm) | 275 x 226 x 243 |
| Función de stand-by | Sí |
| Interfaces | LAN, WLAN |




