Radiovisiógrafo New Ida
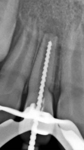
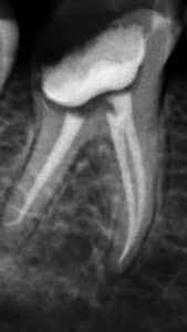
El sistema radiográfico digital New IDA cuenta con un sensor que usa las tecnologías asociadas del CMOS (Complementary Metal-Oxide-Semiconductor), fibra óptica protectora y centelleada. Ese sensor fue fabricado para adquirir la imagen de rayos x digital de alta calidad de la arcada humana y sus estructuras.El proceso de adquisición es realizada posicionado el sensor en la parte interna de la boca atrás de la estructura que se desea realizar el examen.
La estructura debe ser expuesta a una dosis de rayos x usando una fuente externa. Una vez expuesto, el sensor realiza una conversión de los fotones de rayos x en una señal digital y enseguida transfiere para una computadora vía conexión USB (Universal Serial Bus). El software de gestión de imagen dental realiza el interfaz con el sistema New IDA y el usuario, podrá visualizar, mejorar, almacenar, enviar, imprimir entre otras funciones
Es el sensor digital intraoral de DabiAtlante que ofrece imágenes de solución eficiente para obtener un diagnóstico más claro, preciso y avanzado.
Compatible con la evolución de software 2.0, conecte su oficina para el futuro, proporcionando un entorno de trabajo totalmente optimizada.
El cuidado de la salud oral ha llegado a un modo avanzado. Ahorre tiempo, optimice los procesos, obtenga el diagnóstico con otros ojos.
New IDA saca a la luz los acontecimientos en un software 2.0, ampliando su visión profesional en todos los sentidos.
VENTAJAS





ORGANIZACIÓN
Medición de imágenes en múltiples puntos y la medición de ángulo, además de llevar a cabo la calibración.
AJUSTABLE
Rotación, zoom, brillo, contraste, positivo/negativo, ajuste de color, en relieve, ajuste de histograma, selección y recorte
DINÁMICO
Guarda en los formatos DICOM, JPG, TIFF, BMP y PNG, imprime en DICOM y convencional.
CALIDAD & SIMPLE
Captura imágenes de alta definición en tiempo real.
MÚTIPLES IDIOMAS
Tiene un software en Inglês, Español y Portugués.
PRECISIÓN
Introduce caracteres en la foto, como textos, flechas, círculos o diseño libres