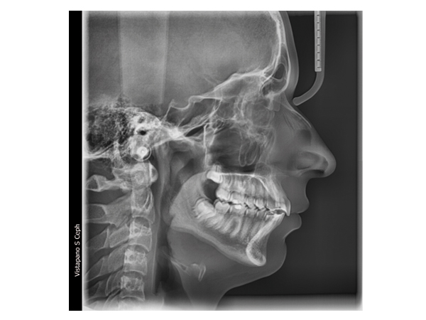
VistaPano S Ceph
Ejemplar en ergonomía
Rápidas tomas tele radiográficas con una exposición reducida
Con el nuevo VistaPano S Ceph se consiguen rápidas tomas tele radiográficas con una extraordinaria calidad de imagen – y esto con unas dosis de exposición lo más reducida posible. La razón son los breves tiempos de escaneado que requieren los sensores lineales, solo 4,1 segundos, y que reducen drásticamente el riesgo de que se produzcan imágenes borrosas debidas al movimiento del paciente. Precisamente con niños, en el campo de la ortodoncia, esta combinación de dosis radiográfica reducida y breves tiempos de escaneado representa una ventaja considerable. Dado que ya están integrados en el aparato dos sensores High-End-CsI para las radiografías panorámicas y la función cefalográfica, se elimina el largo cambio de conexión del sensor , y así el riesgo de sufrir averías. Todo esto convierte a VistaPano S Ceph en la solución radiográfica ideal para la ortodoncia, la cirugía oral y maxilofacial. Además, VistaPano S Ceph le ofrece todas las funciones y ventajas de VistaPano S.
Características destacadas:
- Muy rápido escaneo en 4,1 segundos (cabeza lat.)
- Calidad de imagen extraordinaria
- Exposición reducida
- No es necesario el cambio de sensor, ya que están integrados los dos sensores High-End-CsI
| Datos técnicos | VistaPano S Ceph |
| Generador HV de rayos X | |
| Tensión, corriente | 50 – 99 kV, 4 – 16 mA |
| Tubos | |
| Foco | 0,5 mm (IEC60336) |
| Filtro total | 2,8 mm Al eq. |
| Detector de imagen | |
| Modelo | Sensor CsI |
| Tamaño del punto explorador | 100 μm |
| Superficie de sensor activa | 5,9 x 230,4 mm |
| Frecuencia de reproducción de imágenes | 200 fps |
| Tiempos de escaneado | |
| Tiempos de escaneado | de 4,1 a 12,9 s. |
| Tiempos de escaneado programas cefalográficos | Toma cabeza lateral. En modo de escaneado rápido: 4,1 seg. |
| Factor de ampliación | |
| Factor de ampliación | 1,14 |
| Dimensiones del aparato | |
| Altura máxima | 2280 mm |
| Peso (sin/con pie fijo) | 129/179 kg |
| Margen de regulación de altura | 700 mm |
| Ancho x Largo x Alto | 1940 x 1220 x 2280 mm |
| Instalación | Montaje de pared o pie de soporte |
| Conexión eléctrica | |
| Tensión de red | 200 – 240 V AC |
| Frecuencia | 50/60 Hz |
| Potencia nominal | 2,2 kVA |



