VistaPano S Ceph
El panorámico digital con tecnología S-Pan
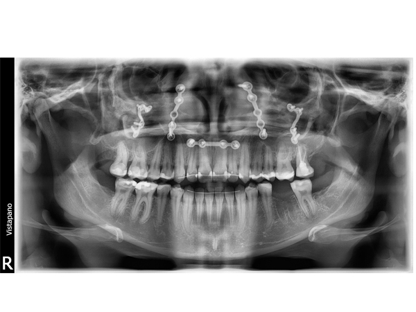
Las tomas radiográficas digitales, en comparación con las tomas convencionales, ayudan al ahorro de tiempo. VistaPano ofrece, gracias a la moderna tecnología de sensores Csl, una calidad de imagen mejorada que permite realizar un diagnóstico de forma mucho más sencilla. Este nuevo aparato convence en la toma radiográfica panorámica sobretodo por tu fácil manejo y su consecuente y pensada gestión de tareas soportadas por una innovadora pantalla táctil de 7”. El punto fuerte es sin duda alguna la tecnología S-Pan: usa la información de imagen de las tomas de cada paciente para presentar de forma automática una imagen panorámica de alta precisión y nitidez de la situación del cliente o del maxilar en cualquier posición. Allí donde otras técnicas de toma de imágenes fracasan de largo por razones de posicionamiento, la tecnologia S-Pan consigue al primer intento excelentes imágenes. Y esto sólo existe en Dürr Dental. El modo de escaneo rápido permite una completa toma panorámica en un tiempo super rápido de solo siete segundos con una muy reducida exposición a la radiación.
Características destacadas:
- Tecnología S-Pan para un diagnóstico más sencillo
- Sensor CsI para una mejor calidad de imagen y una menor radiación
- Diseño extrafino, reducido espacio
- Super rápido: toma panorámica en 7s
- Pantalla táctil de 7” para un uso intuitivo
- Posicionamiento sencillo Face to Face, 3 lineas de posicionamiento
| Datos técnicos | VistaPano S |
| Generador HV de rayos X | |
| Tensión, corriente | 50 – 99 kV, 4 – 16 mA |
| Tubos | |
| Foco | 0,5 mm (IEC60336) |
| Filtro total | 2,8 mm Al eq. |
| Detector de imagen | |
| Modelo | Sensor CsI |
| Tamaño del punto explorador | 100 μm |
| Superficie de sensor activa | 6 x 150,4 mm |
| Frecuencia de reproducción de imágenes | 300 fps |
| Tiempos de escaneado | |
| Tiempos de escaneado | de 2,5 a 13,5 s |
| Tiempos de escaneado programas panorámicos | Toma panorámica de gran tamaño en modo rápido: 7 s |
| Factor de ampliación | |
| Factor de ampliación | 1,3 |
| Dimensiones del aparato | |
| Altura máxima | 2280 mm |
| Peso (sin/con pie fijo) | 105/155 kg |
| Margen de regulación de altura | 700 mm |
| Ancho x Largo x Alto | 990 x 1220 x 2280 mm |
| Instalación | Montaje de pared o pie de soporte |
| Conexión eléctrica | |
| Tensión de red | 200 – 240 V AC |
| Frecuencia | 50/60 Hz |
| Potencia nominal | 2,2 kVA |

