VistaScan Mini Easy
Compacto y sencillo
Con el lector de placas VistaScan Mini Easy los odontólogos podrán hacer un diagnóstico con placas radiográficas aún más rápido. Este aparato compacto es extraordinariamente fácil de manejar y tan solo necesita una superficie muy reducida, por lo que puede colocarse en la misma sala de tratamiento. La gran ventaja: la posibilidad de escanear y hacer radiografías a un paso del sillón dental. Las placas radiográficas reutilizables VistaScan se leen en pocos segundos con una calidad extraordinaria. Cambiar a la placa radiográfica nunca había sido tan fácil como ahora.
Esto es lo que importa:
- Excelente calidad de la imagen
- Rápida disponibilidad de la imagen
- El dispositivo idóneo para trabajar desde el sillón central
- Interfaz de PC desde USB o red
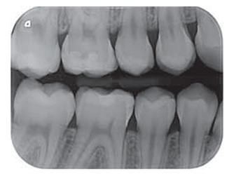
Imágenes de alta resolución
Ofrece un diagnóstico fiable con poco ruido.
Manejo sencillo
Manejo extraordinariamente sencillo: leer, borrar y preparar para el siguiente uso en un solo paso. Rápida disponibilidad de la imagen en 6 segundos en la misma sala de tratamiento.
Tamaños habituales
Las placas radiográficas de los tamaños 0 y 2 se pueden usar con el VistaScan Mini Easy. 100 % de la superficie activa. Manejo sencillo igual que con una película radiográfica.
Fácil integración
El VistaScan Mini Easy puede usarse con el software de visualización de Dürr Dental o con otros paquetes de software mediante plugins o controladores Twain. Se puede integrar sin problemas en la infraestructura de la consulta mediante USB o red.
.
| Datos técnicos | VistaScan Mini Easy |
|---|---|
| Tamaño de placas | S0; S2 |
| Resolución efectiva (LP/mm, dpi) | 22; 1100 |
| Resolución teórica (LP/mm, dpi) | 40; 2000 |
| Peso (kg) | 6,5 |
| Dimensiones (Al x An x Pr en mm) | 226 x 234 x 243 |
| Función standby | Sí |
| Interfaces | USB/red |